top of page
%20(1242%20x%20.png)
Mirror Mirror on the Wall...
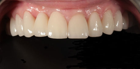
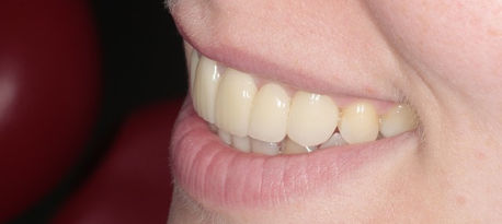
Smile Design with Porcelain Laminate Veneers
Case 1
Case 2
Case 1
Case 2
Smile Design
All-ceramic crown (IPS e.max)
Porcelain laminate veneers without tooth reduction (preparation)
Smile Design with Zirconia Crowns
Case 1
Case 2
Implant-supported fused to metal porcelain crowns
Case 1
Case 2
Smile Design with Porcelain Laminate Veneers
Case 1
Case 2
Smile Design with Porcelain Laminate Veneers
Case 1
Case 2
bottom of page














































